TITLE: WHAT YOU ARE, WE WERE
                            
                This work aims to recover the look and conceptions of ancient philosophy, which was promoted by the Capuchins and similarly many other cultures far from us, such as those of the ancient settlers of North America and Latin America: the assumption, in ourselves, of the reality of our death ("What we are, you will be").
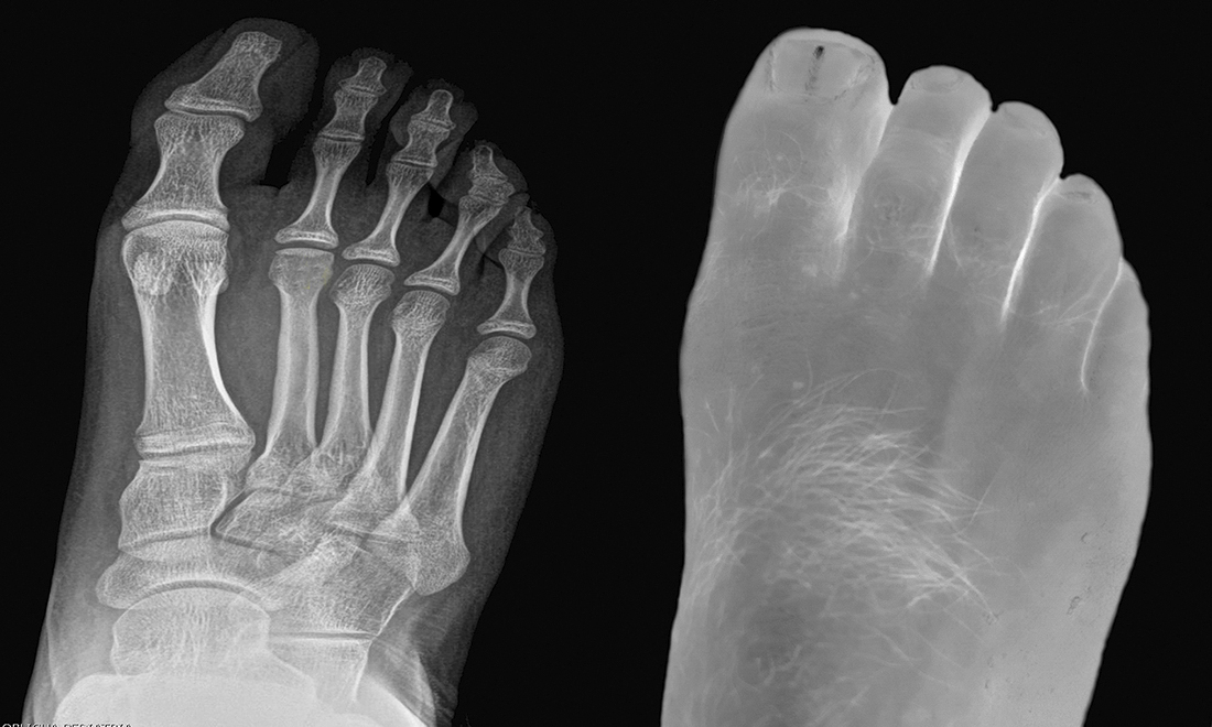
With a look devoid of fears, almost analytical, the author studies, through his own body, his three states or realities: the external (epidermis), the internal, and the inevitable future that is to come (it is said that we started to die from the moment we are born) .
                        
            AUTHOR: ANTONIO JIMENEZ (Spain)
                            
                Training:
2 years of journalism in 1980-81
Photography courses at Academy Spectrum de Zaragoza 1982-85
Photography course University Menéndez Pelayo e 1986
One-year professional video course Universidad Complutense 1988
Film course in TAI 1986-87
Culture Management Course at La Casa Encendida 2016
International Meetings of Cultural Management organized by Fundación Contemporánea in 2017
Course Exploring the process: creativity and strategies in contemporary photography at the UIMP taught by Javier Vallonrat in September 2017 Professional work
Partner and professor at the Academia Estudio3 Studio in Madrid 1985-90
Professor of Photography at CC of Madrid City Council 1991-96
Professional photographer with study 1986-1991
Assembly and edition of audiovisuals for conventions 1990-1997
Responsible for the photo gallery in the Galileo - Galilei room 1992-1997
Artistic
Various exhibitions and publications in Photographic Art, Professional Photo, Diorama, FV and Superfoto.
Guadalajara Bee Silver Award in 1994
After a parenthesis of enough years now
Mirarte de Guadalajara Fair 2014
Entrefotos Fair of Madrid 2015
Member of the board of directors of the Real Sociedad Fotográfica Madrid 2015 and 2016
Publication report on the Auswitch concentration camp in the magazine Viento Sur 2016
Book "Blinding Light" edited by ANIGP from the Image Makers collection.2017
Own stand with the series "Insinuaciones" at the Malaga Contemporary Art Fair 2017.
First prize in XXX National Photography Competition José Antonio Sequí Tarancón Spain
Collective exhibition CAMBIODEISMO CC Galileo Madrid September 2017
Stand at the Contemporary Art Fair WE ARE FAIR 2017 Conde Duque Madrid October 2017                        
                SHARE
                
                    Support this photographer - share this work on Facebook.